Medicina Dentária

Clinica Dentaria

Implantologia

É a área da Medicina Dentária que se dedica à colocação de implantes dentários para substituir dentes perdidos. Os implantes são dispositivos de titânio, colocados cirurgicamente no osso maxilar ou mandibular e servem como base para coroas, pontes ou próteses dentárias.

Técnica All-on-4 e All-on-6

São métodos inovadores de reabilitação oral que permitem a substituição de todos os dentes de uma arcada (superior ou inferior) utilizando apenas quatro ou seis implantes, respetivamente. Essas técnicas são especialmente úteis para pacientes que perderam a maioria ou todos os seus dentes e desejam uma solução fixa e permanente.

Ortodontia

É a área da medicina dentária que se dedica à prevenção e correção das más posições dos dentes e dos maxilares.

Ortodontia Convencional
(Sistema de bráquetes e fios)

O tratamento ortodôntico convencional pode ser realizado em pacientes de todas as idades, embora seja mais comum na adolescência, quando o crescimento ósseo facilita a movimentação dos dentes.

Ortodontia Invisível
(Alinhadores)

É uma modalidade de tratamento ortodôntico que utiliza alinhadores transparentes e removíveis para corrigir problemas dentários e melhorar o sorriso sem o impacto estético dos aparelhos tradicionais.

Ortopedia Funcional dos Maxilares
(Aparelhos fixos/removíveis)

Corrige problemas de desenvolvimento e posicionamento dos maxilares e dentes, promovendo um crescimento e desenvolvimento facial mais harmonioso.

É especialmente eficaz quando iniciada em pacientes jovens, durante a fase de crescimento ósseo.

Estética Dentária

É a área de Medicina Dentária que se foca na melhoria da aparência dos dentes, gengivas e do sorriso como um todo, utilizando diversas técnicas e tratamentos.

  • Facetas Cerâmicas: são peças finas feitas de cerâmica que são cimentadas na superfície frontal dos dentes para corrigir dentes separados, partidos ou para conseguir dentes mais brancos de forma mais duradoura.
  • Coroas Cerâmicas:  são capas de cerâmica utilizadas para cobrir e proteger dentes danificados. Temos como exemplo dentes com cáries extensas ou muito restaurados, dentes muito escurecidos devido a um tratamento endodôntico (desvitalização).

 

  • Restaurações Indiretas: são restaurações feitas em laboratório e depois cimentadas ou coladas nos dentes preparados. São especialmente indicadas para dentes posteriores (pré-molares e molares) que apresentam grandes cavidades (resultantes de cáries ou fraturas) ou que necessitam de uma reconstrução mais complexa do que as restaurações diretas (como amálgama ou resina composta). Na maioria das vezes, as restaurações indiretas são feitas de cerâmica ou de zircónio.

             Tipos de restaurações indiretas:

              ─ Inlays: utilizados para restaurar pequenas cavidades que não envolvem as
              extremidades dos dentes.

              ─ Onlays e Overlays: envolvem uma ou mais extremidades dentárias.

 

  • Restaurações Estéticas: são procedimentos dentários realizados na região anterior da cavidade oral (incisivos e caninos) com resinas compostas que visam melhorar a aparência dos dentes.

Odontopediatria

É a área de Medicina Dentária que se dedica a cuidar da saúde oral dos mais jovens, desde bebés até à adolescência.

Passa pela aplicação de selantes dentários e flúor, instruções de higiene oral, avaliação do desenvolvimento dentário, tratamento de cáries e problemas periodontais (gengivais) e extração de dentes decíduos (de leite).

Periodontologia

É a área de Medicina Dentária que se dedica à prevenção, diagnóstico e tratamento das doenças periodontais: gengivite e periodontite.

Endodontia

É a área de Medicina Dentária que consiste na remoção da polpa dentária infetada ou inflamada, para proceder à desinfeção e selagem do sistema dos canais radiculares. É vulgarmente conhecida por “desvitalização”.

Prostodontia
(Próteses Dentárias)

As próteses dentárias removíveis são uma opção popular para quem perdeu vários dentes ou todos os dentes, oferecendo uma solução acessível e relativamente simples para a restauração da função mastigatória e estética.

Existem dois tipos de próteses dentárias removíveis:

  • Próteses acrílicas: são construídas a partir de resina acrílica e apoiam-se sobre as gengivas, embora possam ter partes metálicas para retenção (os chamados ganchos) ou redes e barras para reforço.
  • Próteses esqueléticas:  nestes tipos de próteses, a estrutura de suporte é confecionada em metal biocompatível que se apoia nos dentes naturais remanescentes e na gengiva. Esta estrutura metálica é mais fina e resistente que a acrílica, proporcionando maior conforto e durabilidade.

Branqueamento Dentário

É um tratamento médico que torna os dentes mais brancos.

Consiste na aplicação de agentes branqueadores (peróxido de hidrogénio ou peróxido de carbamida), que penetram no esmalte e na dentina removendo a pigmentação sem qualquer dano.

Nossos Especialistas

Dr Fadi
OMD Nº 9248
Generalista / Reabilitação Oral / Implantologia
Dra Linda
OMD Nº 8241
Generalista / Ortodontia
Dra-Ivone-Psicologa
OMD Nº 4982
Ortodontia

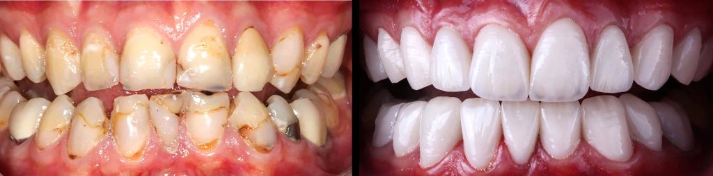
Casos Clínicos

casos clinicos centro medico de quarteira
dentista em quarteira
casos clinicos dentista
casos clinicos quarteira

Nossos Acordos

No centro médico de Quarteira, temos acordos com as seguintes seguradoras:
Advantage planos de saúde
Grupo AdeLand
Medicare
Médis
Sorriso+ Agilcare
Cheque Dentista

Marque sua Consulta

Sua saúde em primeiro lugar. Esperamos por si!

Horário Funcionamento

Segunda - Sexta

08.00 - 19.00

Sábado - Domingo

Encerrados

Telefone

289 314 119